望京医院传承发展48年以来,始终秉承“博爱、敬业、继承、创新”的院训精神,致力于让百姓“看上好中医、吃上好中药、享受好服务”。为方便患者能够更直接、快速地根据不适症状或所诊断的疾病选择专业的医生,医院持续加强中医专病专症门诊的建设力度。藉此专栏介绍望京医院在专病门诊建设的优势与特色,以馈读者。
专病介绍
股骨头坏死是因股骨头血液供应受损或中断,致使骨细胞及骨髓成分死亡,继而引发骨修复反应,导致股骨头结构改变、塌陷及关节功能障碍的病理过程。该病好发于 20 - 50 岁中青年人,主要表现为髋关节疼痛和功能障碍,致残率高,严重影响患者的生活质量。
股骨头坏死的中西医结合阶梯治疗,是根据疾病所处的病理阶段、分期分型,融合中医与西医优势,制定个性化治疗方案,旨在有效缓解症状、延缓病情进展,改善疾病的预后。股骨头坏死是骨关节三科的优势病种,科室开展股骨头坏死的临床和基础研究已长达二十余年,积累了丰富的诊疗经验。
股骨头血运状态评估
除了常规评估股骨头坏死的分期分型外,科室通过近30年的临床经验的积累,对于股骨头坏死进行数字减影血管造影(digital subtraction angiography, DSA),根据血管的分支情况进行不同的分型,来评估坏死股骨头的血运状态,为精准治疗方案的选择及预后预测提供客观依据。

图A可见旋股内动脉(红色箭头)、上支持带动脉(白色箭头)与下支持带动脉(黑色箭头)均显影,表明股骨头血运状态良好;图B可见旋股内动脉显影较淡薄(红色箭头),上支持带动脉未显影,仅下支持带动脉显影(黑色粗箭头),表明血运状态一般;图C.旋股内动脉及上、下支持带动脉均未显影,表明股骨头血运状态较差。
股骨头坏死的中西医结合阶梯治疗
一、非手术治疗
非手术治疗可在股骨头坏死的全病程发挥作用,可与保髋手术治疗配合发挥协同作用。单纯非手术治疗主要针对塌陷风险较低的早期股骨头坏死患者以及塌陷后关节功能尚可的中晚期股骨头坏死患者。
1.健康教育:向患者科普股骨头坏死常见发病诱因及疾病发展迅速的特点,劝导患者戒烟戒酒,规范激素的使用,保持良好的心态,调整生活方式,减少髋关节负重。
2.保护性负重:在股骨头坏死的早期阶段,使用双拐减少股骨头承重可有效减轻疼痛,延缓股骨头塌陷时间,但不主张使用轮椅完全避免负重。
3.中药内服:对于ARCOⅠ、Ⅱ期,JIC分型A、B型的患者,无需手术干预,中药内服(健脾活骨方加减)以健脾化痰、活血化瘀便可获得良好的预后。
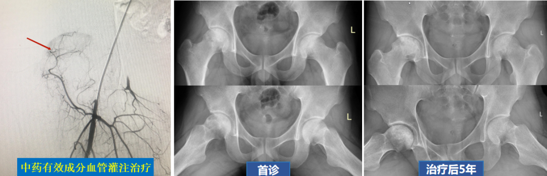
4.中药局部血管给药:将活血化瘀类中药靶向输送至股骨头的供血血管,以促使病变部位血管扩张,改善骨内微循环状态,促进代谢废物清除与血管再生。
5.中医外治:主要包括中药膏摩、中药热奄包外敷、针灸、针刀等,可有效缓解髋关节的疼痛、改善中晚期股骨头坏死的关节功能。
6.康复锻炼:主要包括直腿抬高、抱膝屈髋、分腿旋转、屈膝盘腿、空蹬自行车等下肢锻炼方法,目的是增强患肢的肌肉力量,改善关节活动度。
二、手术治疗
手术治疗分为保髋手术和人工关节置换手术。而保髋手术又分为微创保髋和开放保髋。微创保髋主要针对股骨头坏死围塌陷期,坏死范围较大,外侧柱保留或部分保留;开放保髋手术主要针对年轻患者,坏死范围大,外侧柱较少保留。而人工关节置换手术主要针对疾病后期阶段或者老年人股骨头坏死生活质量要求较高者。
1.微创钻孔减压或髓芯减压植骨术:适用于ARCOⅡ期-Ⅲ期,JIC分型C1型及DSA造影提示股骨头血运状态良好的部分C2型患者,旨在改善骨内高压,减轻骨髓水肿,促进骨修复。
2.外科脱位打压支撑植骨术: 适用于ARCOⅡ期-Ⅲ期, JIC分型C2型且DSA造影提示股骨头血运状态不佳的患者,旨在重建股骨头前外侧负重区的力学支撑,防治或延缓股骨头塌陷。
3.全髋关节置换术:为股骨头坏死终末期治疗手段,适用于经非手术或手术保髋治疗失败,股骨头塌陷严重,关节功能严重丧失或中重度疼痛的患者。
三、典型病例
1.非手术治疗

DSA造影显示左侧股骨头血运状态良好,经非手术综合保髋治疗后,坏死骨修复良好,股骨头形态稳定。
2.微创髓芯减压病灶清除植骨术

术前X片可见双侧股骨头均为JIC C1型,外侧壁部分保留,坏死病灶见片状透亮影,予行髓芯减压植骨术

术后随访可见坏死病灶片状硬化,修复良好,外侧壁增厚,股骨头形态保持良好
3.外科脱位技术病灶清除打压支撑植骨术

术前X片及MRI见左侧股骨头ARCOⅡ期,JIC C2型,坏死范围大,外侧壁无保留,塌陷风险极高,予行外科脱位病灶清除打压植骨术

术后随访可见左侧股骨头坏死病灶修复良好,股骨头虽有轻度塌陷,但整体形态保持相对稳定
4.全髋关节置换术

术前X片可见左髋股骨头塌陷明显,关节间隙狭窄,呈骨关节炎表现,保髋治疗预后不佳,予行全髋关节置换术
股骨头坏死的中西医结合阶梯治疗依据股骨头不同分期、分型及血运状态,发挥中医、西医的协同作用。早期以非手术为主,采用中药内服外治、局部血管给药等促进股骨头修复;中期则保髋手术联合中药调理防止或延缓股骨头塌陷进展;晚期考虑人工关节置换术,改善患者生活质量。
骨关节三科介绍
中国中医科学院望京医院是以治疗骨伤科疾病为重点的三级甲等医院、全国骨伤科治疗中心。骨关节三科是集医疗、科研、教学为一体的临床重点科室。擅长运用中西医结合治疗骨关节疾病,对股骨头坏死、髋膝骨关节炎、骨折不愈合、足部畸形等疾病的诊治上具有丰富的临床诊治经验,尤其对髋关节疑难疾病的诊治具有显著的优势。以针灸、推拿、针刀、中药内外治法等中医中药技术为主,结合药物灌注、植骨、关节镜、截骨矫形、关节置换及康复训练等现代医学疗法,尤其在“骨蚀”(股骨头坏死)及“骨痹病”(髋膝骨关节炎)的诊治上,形成了综合保守治疗→微创技术→保关节手术→人工关节置换术的阶梯治法,疗效显著。

(供稿:中国中医科学院望京医院 作者:中国中医科学院望京医院)


