近日,河北北方学院附属第一医院胸心外科成功实施全省首例分支型支架植入联合升主动脉、主动脉弓部置换复杂主动脉夹层外科手术,标志着河北北方学院附属第一医院在主动脉疾病诊疗领域取得重大突破,为复杂心血管疾病的治疗开辟了全新路径。
一、病情危重 辗转求医
患者为41岁男性,因急性胸痛10小时紧急就医,诊断为急性A型主动脉夹层,患者随即转至北京进行治疗,但由于病情严重,手术风险大,患者未接受手术治疗,又转回本市某医院进行保守治疗,病情持续发展,最终转入河北北方学院附属第一医院。
二、精准评估 创新方案
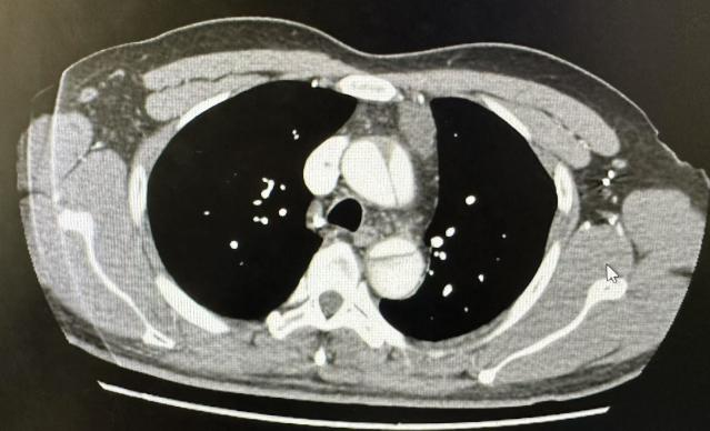
入院后,胸心血管外科团队立即对患者病情展开全面评估。胸部CTA显示:升主动脉夹层,累及范围广泛,右侧颈总动脉均受夹层累及,降主动脉夹层已经形成瘤样扩张。随时可能出现破裂而危及生命。
面对如此复杂的病情,以胸心外科何庚戌主任为首的手术团队经过深入研讨,决定突破传统手术模式,制定“经股动脉植入分支型支架重建左锁骨下动脉,联合升主动脉及主动脉弓部分支型人工血管置换,同步重建左颈总动脉和右侧无名动脉”的创新手术方案。该方案能精准处理病变血管,有效减少术后出血风险。

术前胸主动脉CTA

术前3D重建
三、手术成功 疗效显著
4月25日,手术团队凭借精湛的技术和默契地配合,顺利完成手术。整台手术耗时不到5小时,术中操作精准高效。术后,患者恢复情况良好,复查显示血管重建效果理想,各项生命体征平稳。
四、术后随访

术后胸主动脉CTA重建
近年来,河北北方学院附属第一医院胸心外科始终以患者需求为导向,在深耕常规手术精细化发展的同时,不断向复杂、急危重症诊疗领域发起挑战,积极探索前沿技术。未来,医院将继续秉持“以患者为中心”的服务理念,持续提升医疗技术水平,为广大患者提供更加优质、高效、创新的诊疗服务,守护人民群众的生命健康。
五、特别提醒
主动脉夹层是一种病程极其凶险的疾病,据统计急性主动脉夹层发病后2天死亡率高达48%,约50%以上患者1周内死亡,70%的患者1个月内死亡,90%的患者1年内死亡。随着人口老龄化和高血压发病率的居高不下,主动脉夹层发病率逐渐增高,现已从以前的少见疾病发展为临床的常见疾病。
专家提醒,高血压、动脉硬化患者是高危人群,突发撕裂样胸痛需立即就医,早发现、早治疗是关键。
(供稿:河北北方学院附属第一医院 作者:河北北方学院附属第一医院)


