『颅内出血』
这个词是不是一听就很严重?但会引起这一严重后果的,常常只是生活中不经意的小事不小心撞到床沿、脑袋碰到单杠,被“熊孩子”用玩具敲到头,甚至是一个急刹车引起的震荡……都有可能引起颅内出血
接下来,就让我们一起来聊聊,这个潜藏在大脑中的“隐形炸弹”吧!
一个月前,83岁的陈阿公(化名)不小心摔了一跤,磕到了脑袋,但由于没有出现明显的头晕、头痛等症状,就一直没有到医院检查。可就在几天前,阿公的状况开始有点不对劲了,头闷闷的,有点痛,走路也没力气。家人赶紧把他送到温州医科大学附属第一医院急诊科就诊,急诊医生不敢大意,立刻安排阿公做了急诊头颅CT,检查结果提示:右侧慢性硬膜下血肿,这是颅内出血最为常见的类型之一,血肿量初步评估达到了三四十毫升。
情况紧急,医生赶紧安排阿公住院,进一步评估病情。神经外科郑匡副主任医师联合麻醉科、介入治疗中心开展了多学科会诊,如果不进行开颅手术治疗,颅内慢性硬膜下血肿会进一步增多,重度颅内高压可能会危及生命。可进行开颅手术治疗,则需要全身麻醉,阿公已经83岁,既往心肺功能都不是很好,能否耐受全麻也是一个问题;其次,由于阿公长期服用阿司匹林肠溶片,开颅手术也将面临术中或术后难以控制出血的风险。


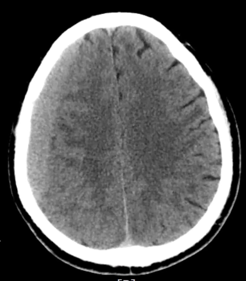
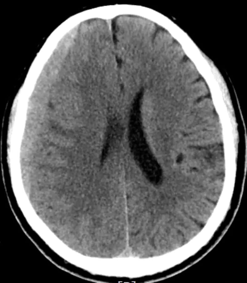
▲ 慢性硬膜下血肿ct图

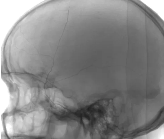
▲ 脑膜中动脉栓塞效果图
经过对阿公的病情的全面分析,诊疗团队考虑患者慢性硬膜下血肿已经有一定的占位效应,但中线结构还基本居中,并且没有明显的神经功能症状,在与其家属充分沟通后,决定采用最新的微创介入治疗方式——局麻下脑膜中动脉栓塞术,然后根据后续情况决定是否需要行开颅钻孔血肿手术。
在完成术前检查准备后,当天郑匡就为阿公进行了微创介入手术治疗,手术仅耗时约1小时,因为是局麻治疗,整个手术过程阿公都是清醒且完全配合,手术创口仅仅是股动脉处的一个微小针眼。
在完成术前检查准备后,当天郑匡就为阿公进行了微创介入手术治疗,手术仅耗时约1小时,因为是局麻治疗,整个手术过程阿公都是清醒且完全配合,手术创口仅仅是股动脉处的一个微小针眼。
术后,诊疗团队继续跟进观察阿公的情况,并给予相关药物治疗,复查CT提示颅内血肿稳定,阿公的头疼症状也没有加重,术后3天就顺利出院了。术后2周,复查CT,检查结果提示血肿较前吸收。术后2个月复查CT,结果提示血肿已经完全吸收。微创的脑膜中动脉栓塞术让阿公避免了经历一次开颅手术的风险,家里人都高兴极了,不停向诊疗团队表示感谢。
一、神秘的”颅内阴影“慢性硬膜下血肿
慢性硬膜下血肿,是不是感觉听起来陌生又遥远?可实际上,它可能悄然潜伏在一些老年人或头部受过轻微外伤者的身体里。
我们的大脑被一层坚韧的硬膜所保护,可如果硬膜下出现了缓慢积聚的血肿,这就像一个逐渐膨胀的“气球”,压迫着周围的脑组织,可能会导致头痛、头晕、记忆力减退、肢体无力等症状,严重影响生活质量,甚至危及生命。
二、传统疗法创伤大,”针眼里的手术“化解危机
对于有占位效应的慢性硬膜下血肿的治疗目前主要依赖钻孔引流术,就是在颅骨上开一个小孔,将积血引流出来。这种方法对于慢性硬膜下血肿的排出相对直接高效,但术后复发率达到10%~20%,部分患者可能需要经历多次手术。另外,开颅血肿引流术属于开放性手术,需要在全麻下进行,有一定的麻醉风险,对于部分服用抗血小板药物的患者来说,术中术后出血风险相对偏高。
而脑膜中动脉栓塞术作为血肿“终结者”,为部分慢性硬膜下血肿患者和复发性急性硬膜下血肿患者带来了新的希望。这一技术通过精准的介入手段,通过导管将微小的栓塞材料精准输送到脑膜中动脉,阻断其向血肿区域的供血,使血肿逐渐自然吸收。
大家可以把脑膜中动脉想象成给血肿“输送养分”的通道,一旦通道被阻断,血肿就会因为缺乏“养分”而逐渐萎缩、消失,从而达到治疗的目的。
三、与传统手术相比,它具有以下几大优势 :
◆手术在局麻下完成,手术时程短,尤其适合高龄和全身情况差的老年患者,同时规避了气管插管全身麻醉的风险;
◆采用介入栓塞手段,创伤较小、痛苦少、术后恢复快、住院周期短,服用抗凝、抗血小板药的老年人尤为适用;
◆介入治疗可通过经股动脉穿刺或经桡动脉穿刺途径开展,经评估适宜的患者可采用经桡动脉入路,术后下肢无需制动及卧床,患者舒适度更佳,术后康复更快。
四、脑膜中动脉栓塞治疗患者注意事项:
★ 遵守医嘱用药。
★ 避免外伤,减少复发风险。
★ 加强营养,合理膳食。
★ 多休息,适量运动,坚持神经功能康复训练。
★ 部分患者对脑膜中动脉栓塞手术效果欠佳,所以应定期复查头部CT或MRI,监测血肿吸收过程,若血肿增大,则需要开颅手术治疗。
★ 脑膜中动脉栓塞术有一定的适应症范围,如果慢性硬膜下血肿占位效应明显,颅内高压,则建议采取开颅钻孔手术治疗。
(供稿:温州医科大学附属第一医院 作者:郑匡)


