“我母亲情况复杂,李医生、蔡医生凭借丰富的临床经验,为我母亲制定了周密的手术方案,成功挽救了她的生命……”
——患者家属感谢信部分内容
近日,四川省肿瘤医院头颈外科中心历经7小时生死时速,成功“拆除”一枚潜伏20余年、约10公分的高难度颈胸巨大晚期甲状腺癌“重磅炸弹”,并同期进行了有关组织重建,在根治肿瘤的同时,极大地保障了患者术后的生存质量,为患者点亮了“生命之光”。
一、命悬一线:甲状腺癌“潜伏”20年,就诊时已是晚期
吕阿姨(化名)颈部甲状腺肿块“潜伏”了20余年,未予重视。如同很多恶性肿瘤一样,肿瘤在初中期症状不明显,病人生活不受影响,因此延误了诊治,最终发展为颈前甲状腺区域延伸至胸壁的10多公分的巨大局部晚期侵袭性甲状腺乳头状癌。
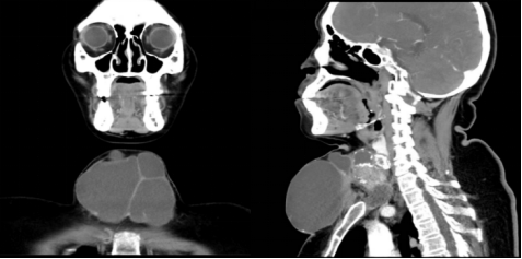
吕阿姨就诊时的术前影像学检查令所有人都捏了一把汗:肿瘤从颈部蔓延到胸壁,范围极其广泛,不仅肿瘤体积巨大,侵犯气管壁、喉返神经及颈内静脉等重要器官;更凶险的是,颈部淋巴结转移灶包裹着颈部重要的血管(颈总动脉、颈内静脉),生命岌岌可危。

▲患者影像学提示肿瘤巨大,从甲状腺区域蔓延到胸壁
面对如此复杂的病情,辗转求医的吕阿姨及家属最终将希望寄托在四川省肿瘤医院。
二、生命重建:7小时生死时速,移除巨瘤点亮“生命之光”
经过严密的术前评估和讨论和全院多学科力量的坚实支撑,四川省肿瘤医院甲状腺头颈外科学带头人李超教授领衔主刀的头颈外科联合多学科团队全力攻坚。
在这生死时速的7小时里,医疗团队成功实施了甲状腺癌扩大根治术及修复手术,完整切除了颈胸部巨大肿瘤及受侵犯的颈胸壁皮肤,颈内静脉及喉返神经等组织,并同期进行了有关组织重建,根治肿瘤同时极大地保障了患者术后的生存质量。
经过紧张又漫长的7小时高难度挽救性手术,这场与巨大晚期肿瘤的生死博弈终于迎来胜利。目前,吕阿姨恢复良好出院,各项关键指标趋于正常。
三、人文关怀:贯穿始终的温暖力量
从患者及家属辗转求医时的耐心接待与细致沟通,到MDT讨论中设身处地考虑患者生存质量,到术中每一个对于生命极致敬畏与守护的处理细节;再到术后精心的康复护理与心理疏导,四川省肿瘤医院团队将“以患者为中心”的人文关怀理念融入了诊疗的每一个细节。
这份对生命的尊重与不放弃,是支撑患者和家属走过至暗时刻的重要力量,让现代医学及高精湛技术赋予了不可缺少的温度。

▲患者及家属出院后感动地给予表扬信
四、专家提醒:
李超主任医师借此案例特别提醒公众:
甲状腺癌常被称为“懒癌”“幸福癌”,意指少部分低危型甲状腺乳头状癌其进展相对缓慢,预后较好。但这绝不意味着对其可以掉以轻心!像吕阿姨这样的局部晚期侵袭性甲状腺乳头状癌(还有其他髓样癌、低分化、未分化癌),病情凶险,肿瘤进展及转移迅速,治疗难度极大,是导致我国甲状腺癌死亡的主要原因之一。

五、以下事项需要尤其关注:
1. 重视颈部肿块:
发现颈部无痛性肿块,尤其是质地硬、活动度差、生长较快或伴有声音嘶哑、吞咽、呼吸困难时,务必及时就医。
2. 定期体检筛查:
定期体检筛查:颈部超声是筛查甲状腺结节和肿瘤的首选方法,简便无创。高危人群(如有家族史、童年头颈部放射史、甲状腺结节短期变大、变多或淋巴结肿大等)应高度注意,加强监测。
3. 选择专业机构:
一旦确诊或疑似甲状腺癌,尤其是复杂、晚期病例,应选择具有丰富头颈肿瘤诊治经验和强大MDT团队的专科或综合医院进行规范诊疗。早期发现、规范治疗,绝大多数甲状腺癌患者预后极佳。
4. 勿信偏方,科学治疗:
确诊甲状腺癌后应遵医嘱进行规范治疗(手术、碘-131、TSH抑制治疗等),切勿因误信”偏方“或无视“懒癌”危害而延误最佳治疗时机。
六、专家团队介绍:
李超主任医师(医院官网):一级专家,教授,主任医师,留美医学博士/博士后、博士生导师。全国知名专家,国际牙医师学院(ICD)院士,国家医学高层次人才,国家临床重点专科带头人,四川省学术技术带头人,省有突出贡献的优秀专家,省卫健委医学领军人才,省海外高层次留学人才。全国“十大医学促进专家”,国家癌症中心甲状腺癌质控中心委员,贵州省人民政府医疗援黔核心专家。起草及参编全国首部《甲状腺癌诊治指南》等4部、甲状腺肿瘤行业规范一部及全国专家共识32部。头颈部肿瘤防治工作荣获省市级科技成果奖励14项,获得国家专利15项。担(曾)任中国医药教育协会头颈肿瘤专委会主任委员,中国抗癌协会肿瘤整形专委会副主委,中国医师协会头颈外科学组全国组长,国家临床医学中心头颈微创外科协助组全国副组长,四川省医学会甲状腺疾病专委会主委等。精通机器人(内镜)辅助颈部无疤甲状腺、腮腺、咽喉及口腔等头颈部肿瘤的精准微创功能形态保全外科治疗,尤其是功能保护、微创、整形美容等技术应用,在疑难中晚期开放头颈部肿瘤挽救性外科及一期形态及功能的修复重建方面具有丰富经验。
蔡永聪主任医师(医院官网):主任医师,三级专家,硕士生导师,美国犹他大学访问学者,四川省“卫生健康英才计划”领军人才,四川省学术和技术带头人后备,四川省青年科技奖获得者。担任中国医药教育协会头颈肿瘤专委会副秘书长、常委;四川省抗癌会肿瘤整形专委会副主任委员;四川省口腔医学会颌面外科专委会副主任委员;四川省耳鼻咽喉头颈外科学会头颈外科专委会副主任委员;四川省医学会甲状腺疾病专委会常委等;多次获中华医学会及中国医师协会举办的“青年医师手术视频大赛”全国一等奖。擅长头颈肿瘤个体化精准修复重建,晚期及放化疗失败的头颈鳞癌挽救性外科治疗,腔镜及机器人辅助头颈部肿瘤(口咽、甲状腺、腮腺、颌下腺等)功能性外科治疗等。
马霖杰主治医师(医院官网):主治医生,硕士研究生,担任四川省医教头颈肿瘤专委会委员,四川省医学会唾液腺疾病临床研究分会委员等,研究方向主要为甲状腺疾病,口腔颌面外科疾病等,擅长开放或腔镜甲状腺切除,机器人甲状腺口腔肿瘤切除,常见口腔颌面部、甲状腺、喉咽部、颈部等疾病诊治。出诊时间:周四下午。
审核专家

李超头颈外科一级专家
(供稿:四川省肿瘤医院 作者:四川省肿瘤医院)


