一、科技引领精准医疗 创新守护患者健康
近日,唐山市人民医院在成功引进国际领先的Infinity直线加速器并投入临床应用后,放疗技术再创新高。2025年5月中旬,医院成功举办为期一周的三维、四维影像引导HDRS高精动态放射外科技术高级临床应用培训班,并运用DIBH门控技术、4D CBCT影像引导及分次内(治疗中)4D CBCT动态监测等尖端技术,成功为乳腺癌、肺癌、肝癌及头部多发肿瘤的7例患者实施高精度放射治疗,标志着唐山市人民医院肿瘤放射治疗正式迈入“精准化、动态化、个性化”的新时代。
二、国际尖端技术集群 打造精准放疗新标杆
本次临床应用的HDRS(高精动态放射外科)技术,结合Infinity加速器的超高清多模态影像引导系统,能够实现:
亚毫米级精度:通过三维/四维CBCT实时影像追踪,确保肿瘤靶区动态定位误差小于1毫米;
呼吸门控优化:DIBH技术有效减少乳腺癌患者放疗中心脏受照剂量达50%以上;

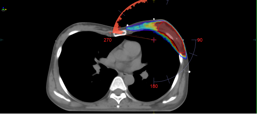
图1 为运用深吸气屏气技术放疗乳腺患者进行治疗前摆位。

图2 深吸气屏气时,胸腔体积扩大,靶区远离心脏,减少心脏放射毒性。
分次内动态修正:治疗中实时监测肿瘤位移,单次治疗时间缩短30%,患者舒适度显著提升。

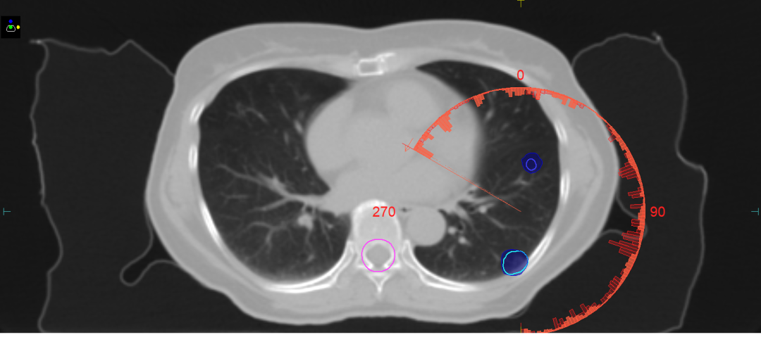
图3 运用4D CBCT定位,选择与肿瘤时间加权驻留位置图像相一致的4D CT时相画靶做计划,缩小靶区范围,降低危及器官损伤。治疗时通过分次内4D CBCT监测肿瘤位置,确保放疗精度。
三、7例复杂肿瘤治疗成功 临床效果获专家认可
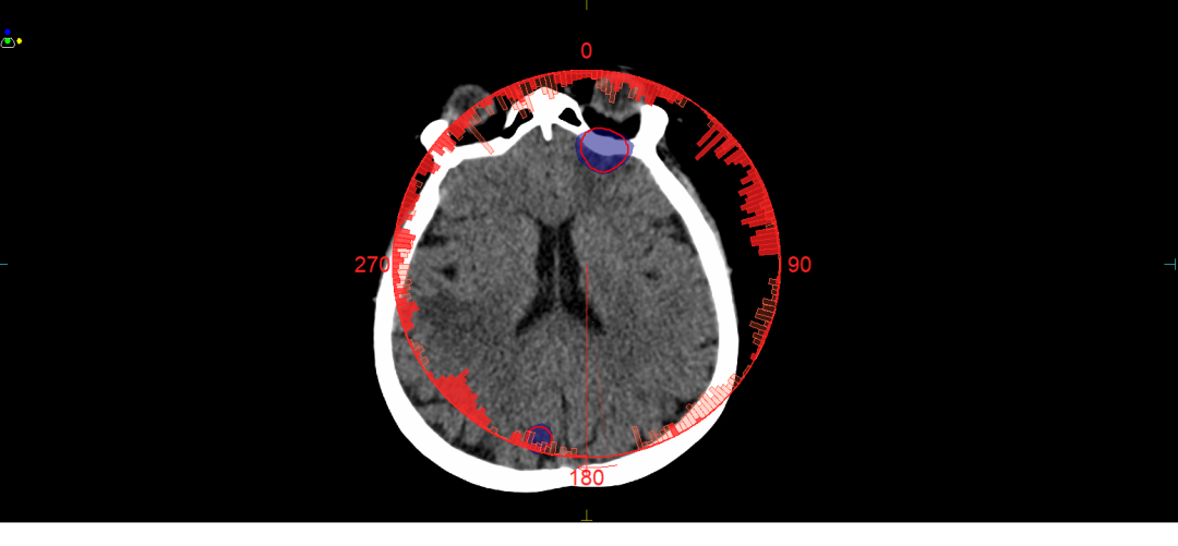
在近期治疗的案例中,一名多发性脑转移瘤患者通过分次内4D CBCT技术,实现了对微小病灶的精准打击,同时避免了对晶体、脑干的关键损伤;

图4 肿瘤位置距离晶体极近,通过治疗前的CBCT和六维床精准纠正摆位误差。
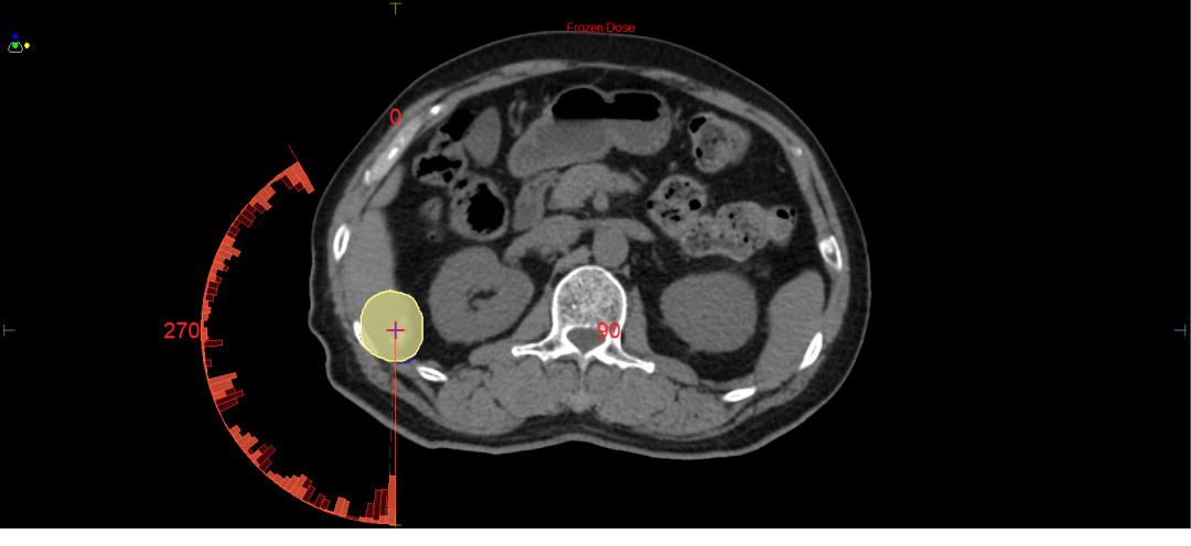
另一例肝肿瘤患者在呼吸门控技术辅助下,行超高剂量率的立体定向放射治疗,使肿瘤靶区剂量分布均匀性提升20%,周围正常肝组织受量降低35%。这些突破性成果在本次培训班上得到了国内放疗领域专家的高度评价。

图5 高精度动态放射外科,突破传统加速器在物理精度上的限制,应用于肝癌放疗。
四、学术研讨推动技术落地 赋能区域医疗发展
唐山市人民医院此次举办的放射治疗高级临床应用培训汇聚了来自中国医学科学院肿瘤医院、北京大学肿瘤医院等机构的权威专家,通过实战操作、病例讨论、技术对比等形式,深度验证了HDRS技术在复杂肿瘤治疗中的显著优势。唐山市人民医院放疗科各位主任表示:“该技术集群的成熟应用,将使唐山市人民医院成为京津冀地区复杂肿瘤精准放疗的重要枢纽。”

五、以患者为中心 重塑放疗体验
与传统技术相比,新方案具有三大核心优势:
1. 更安全:正常组织保护能力提升40%,放射性肺炎等副作用发生率显著降低;
2. 更高效:单次治疗时间控制在15分钟内,适合老年及体弱患者;
3. 更精准:尤其适用于多发病灶同步放疗、乳腺癌保乳术后、肺癌同步放化疗等精细场景。
唐山市人民医院将持续推进“精准高难度放疗技术项目的开展”,让尖端医疗技术真正造福百姓。
科技赋能生命,精准守护健康——唐山市人民医院放疗中心与您携手,共克肿瘤!
(供稿:唐山市人民医院 作者:放疗中心 王蕊)


